Researchers at Johns Hopkins Medicine say they employed “zap-and-freeze” technology to observe difficult-to-see brain cell connections in living brain tissue from mice and people.
The findings of the new trials, funded by the National Institutes of Health and published on November 24 in Neuron, can help scientists identify the underlying causes of nonheritable types of Parkinson’s disease, according to the researchers.
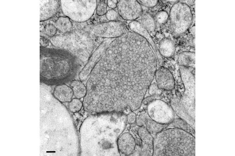
The Parkinson’s Foundation reports that the majority of Parkinson’s disease cases are sporadic. The disorder is distinguished by abnormalities in the signaling pathway between two brain cells. That connection point, known as a synapse, is notoriously difficult to analyze. According to Shigeki Watanabe, Ph.D., associate professor of cell biology at Johns Hopkins Medicine and lead researcher.
Understanding Parkinson’s
Watanabe previously contributed to the development of the zap-and-freeze technique. That allows for a deeper look at synaptic membrane movements ( published in Nature Neuroscience in 2020). Essentially, the approach entails stimulating living brain tissue with an electrical pulse. Then immediately freezing the tissues to capture cell movement for electron microscope inspection.
In a study published earlier this year in Nature Neuroscience. Watanabe used the approach in the brains of genetically engineered mice to understand how intersectin, a key protein, keeps synaptic vesicles in a specific location within a brain cell. Until they are ready to be released to activate a neighboring brain cell.
The researchers next used the zap-and-freeze approach on brain tissue samples from epileptic patients. Thereby, revealing the same synaptic vesicle recycling pathway in human neurons.
Working with academics Jens Eilers and Kristina Lippmann from Leipzig University in Germany. The researchers first confirmed the zap-and-freeze method by examining calcium signaling. A mechanism that causes neurons to release neurotransmitters in living mouse brain tissues.
The scientists next used the zap-and-freeze method to excite neurons in mouse brain tissue. To see where synaptic vesicles fuse with brain cell membranes and release chemicals known as neurotransmitters that reach other brain cells. The researchers then studied how mouse brain cells recycle synaptic vesicles. After they have been utilized for neuronal communication. A process known as endocytosis.



