- Intestinal lipomas consists of diffuse lipomas from the small to the large bowel.
- Although rare, the condition can be complicated by intussusception.
- There is no specific treatment for intestinal lipomatosis except for surgical management.
A 74-year-old woman presented to the gastroenterology clinic with complaints of abdominal distention and bloating.
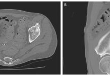
Physical examination showed a distended abdomen. However, the abdomen was non-tender on palpation with normal bowel sounds. An esophagogastroduodenoscopy was performed which showed numerous mucosal masses in the duodenum with pillow sign (subepithelial lesion indenting when prodding with biopsy forceps). The subepithelial lesion was biopsied and unroofing of the biopsy revealed yellow adipose tissue. Histopathological analysis showed mature adipose tissue.
The findings were consistent with the diagnosis of intestinal lipomatosis.
Intestinal lipomtosis
Intestinal lipomatosis involves diffuse lipomas in various regions including the small or large intestine. The patients can either remain asymptomatic or present with complications, for example, intussusception. Some patients may also show mild symptoms. There is no specific treatment available for intestinal lipomatosis except surgical management in severe cases.
Surgery was not an option in this case because the entire small bowel was involved. Therefore, the patient was asked to make some dietary alterations. The patient reported a moderate reduction in symptoms at 3-month follow.
No specific treatment is available except for surgical management in severe or complicated cases. Surgery was not offered in this case because of involvement of the entire small bowel. At the 3-month follow-up, the patient reported a moderate reduction in symptoms after some dietary alterations.
References
Mansoor, M. S., & Batool, A. (2020). Intestinal Lipomatosis. New England Journal of Medicine, 382(8), e12.



